Düzce Üniversitesi‘nden (DÜ) Tıp Fakültesi Hastanesi Ortopedi ve Travmatoloji Kliniği’nde gerçekleştirilen operasyonda, eklem faresi olarak da bilinen multipl sinovial kondromatozisi başarılı geçen ameliyatla artroskopik olarak çıkartıldı.
Üniversiteden yapılan açıklamaya göre, diz ağrısı şikayetiyle hastaneye başvuran hastaya, ortopedi ve travmatoloji kliniğinde müdahale edildi.
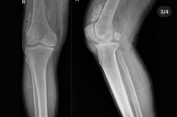
Tetkiklerde, hastanın özellikle diz eklemi çevresinde halk dilinde “eklem faresi” olarak bilinen 41 “multipl sinovial kondromatozisi” tespit edildi.
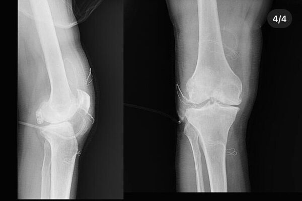
DÜ Tıp Fakültesi Hastanesinde endoskopik yöntemle gerçekleştirilen ameliyatla hastanın dizinden söz konusu parçalar çıkarıldı.
Doç. Dr. Zekeriya Okan Karaduman, Doç. Dr. Mehmet Arıcan ve Dr. Öğr. Üyesi Sönmez Sağlam tarafından çıkarılan parçaların boyutlarının birkaç milimetre ile santimetre arasında değiştiği belirtildi.


Eklem faresi nedir?
Eklem faresi (loose body) özellikle diz eklemi çevresinde görülmekle birlikte kalça, dirsek ve diğer eklemlerde de görülen, ufak parçalardan oluşan cisimlerdir. Eklem çevresinde eklem sıvısı ya da sinoviyumda görülen kıkırdak ya da kemik parçalarıdır. Eklem farelerinin boyutları birkaç milimetreden birkaç santimetreye kadar olabilir.
Eklem fareleri Romatoid artrit, osteoartrit gibi durumlardan kaynaklanabilir ya da osteoartrite neden olabilir. Diğer nedenler arasında travma ya da kırıklar vardır. Eklem faresinin spor yapan bireylerde görülme olasılığı yüksektir.
Eklem faresinin en sık görülen belirtisi özellikle dizde kilitlenme, takılma hissidir. Özellikle kişiler hareket esnasında bir cismin içeride hareket ettiğini tarifler. Bunlar dışında şişlik ve ağrı gibi durumlar ile de kişi karşı karşıya kalabilir.
Eklem faresinin tespiti Röntgen kullanılarak kolay bir şekilde yapılabilir. Ciddi boyutlarda olan serbest cisimlere cerrahi tedavi uygulanır ve parçacık bulunduğu bölgeden direk alınır. Cerrahi tedavi sonrası kişilerin fizik tedavi süreci başlar. Şişlik, ağrı ve kas zayıflığı, kas kısalığı gibi durumlarda dokuyu eski haline getirerek tedavi süreci tamamlanmış olur.
Eklem faresi gözden kaçan ancak önemli bir problemdir. Detaylı bir inceleme yapılarak sorunun gerçek kaynağı tespit edilebilir ve tedaviye karar verilebilir. Son olarak özellikle kilitlenme ve hareket eden bir cisim hissi direk olarak eklem faresini akıllara getirir.
Eklem fareleri nasıl oluşuyor?
Eklem fareleri bazen düşme, çarpma sonucu, spor faaliyetlerinden sonra ya da darbelerden sonra oluşabilir. Bazen de bu hastamızda olduğu gibi eklem zarı buna sebebiyet verebilir. Dizde ağrı, şişlik, ses gelmesi, hareket kısıtlılığı, takılma gibi şikayetler yapabilir. Biz bu hastaları eskiden açık ameliyatlarla tedavi ediyorduk. Şu anda teknoloji ve tıbbın gelişmesi ile kapalı ortamda ameliyat yapabiliyoruz. Bizim önerimiz bu tür şikayetleri olan hastaların çok ileri seviyeye gelmeden, çözülmesi güç hale gelmeden ve komplike durumlar, kalıcı sakatlıklar yaşamadan bir an önce doktorlarına başvurarak operasyonlarını ya da tedavilerini yaptırmalarıdır.

